CABINET DU DOCTEUR Alexis LE PETIT
Exercice limité à l'Orthodontie
11 Allées de Chartres, 33000 Bordeaux
+33 5 56 52 44 74

Béance traitée sans chirurgie par plaques d'ingression


Intra Orale Droite

Intra Orale Face

Intra Orale Gauche

Intra Orale Supérieure

Intra Orale Inférieure

Panoramique

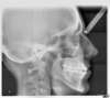
Téléradio