CABINET DU DOCTEUR Alexis LE PETIT
Exercice limité à l'Orthodontie
11 Allées de Chartres, 33000 Bordeaux
+33 5 56 52 44 74

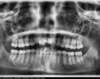
Canine incluse traitée avec des gouttières


Début de traitement

Etapes intermédiaires

Fin de traitement