CABINET DU DOCTEUR Alexis LE PETIT
Exercice limité à l'Orthodontie
11 Allées de Chartres, 33000 Bordeaux
+33 5 56 52 44 74

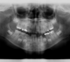
Correction d'un décalage de la mâchoire chez un jeune enfant.


Vues avant le traitement à l'âge de 6 ans

Les radios avant le traitement

Les radios après le traitement

Vues après le traitement