CABINET DU DOCTEUR Alexis LE PETIT
Exercice limité à l'Orthodontie
11 Allées de Chartres, 33000 Bordeaux
+33 5 56 52 44 74

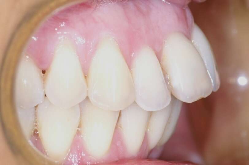
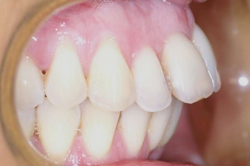
Reprise de traitement d'un patient ayant eu un traitement dans l'enfance


A-Début

C-Début 3

S-Fin de traitement