CABINET DU DOCTEUR Alexis LE PETIT
Exercice limité à l'Orthodontie
11 Allées de Chartres, 33000 Bordeaux
+33 5 56 52 44 74

Traitement d'orthodontie fonctionelle Bordeaux


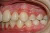
Vues avant le traitement

Les radios après le traitement

Vues après le traitement