CABINET DU DOCTEUR Alexis LE PETIT
Exercice limité à l'Orthodontie
11 Allées de Chartres, 33000 Bordeaux
+33 5 56 52 44 74

Blog - Page 2

Education Fonctionnelle : thérapie de l'éducation fonctionnelle

Education Fonctionnelle : thérapie de l'éducation fonctionnelle

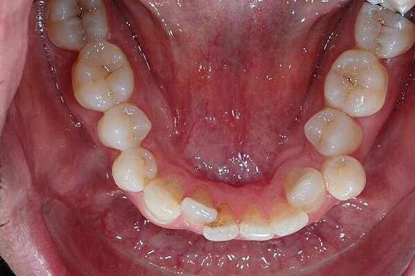
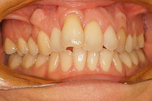
Rédicive d'un traitement dans l'enfance repris avec des gouttières

Rédicive d'un traitement dans l'enfance repris avec des gouttières

.

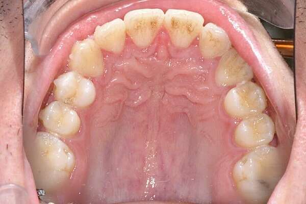
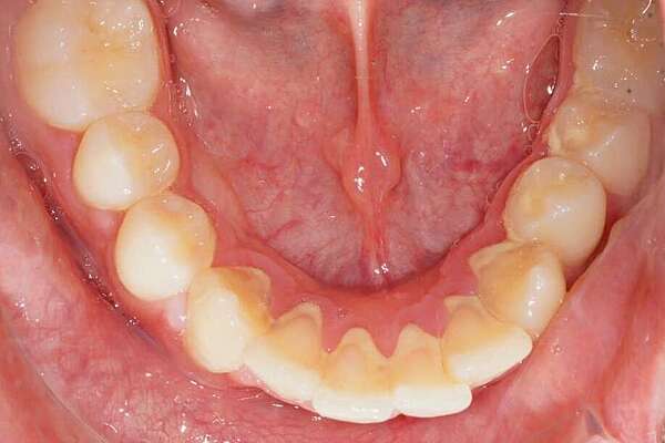
Important encombrement traité par gouttières

Important encombrement traité par gouttières

.

Prognathisme traitée en technique lingual

Prognathisme traitée en technique lingual

.

Mise en place d'une canine incluse en technique linguale

Mise en place d'une canine incluse en technique linguale

.

Jeune adulte traitée en technique linguale

Jeune adulte traitée en technique linguale

.

Affichage des articles 7-12 sur 165