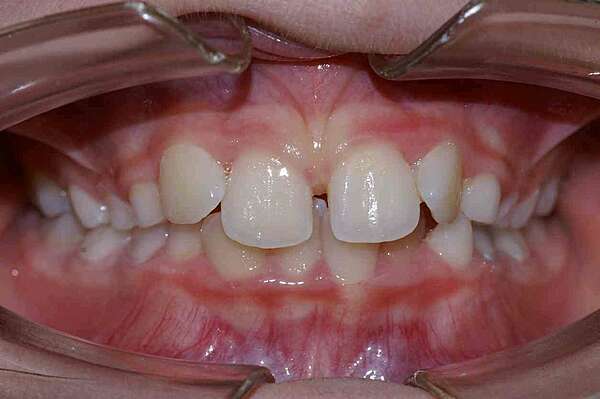
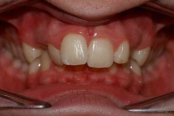
Les Drs Xavier et Pascale LE PETIT, orthodontiste à Bordeaux, vous expliquent ce qu'est l'orthodontie interceptive. L’orthodontie interceptive a pour but d’éviter l’installation de problèmes difficiles à gérer par la suite. Elle permet également d'éviter des extractions de dents définitives, d'éviter des interventions chirurgicales et raccourci ainsi le temps de port des bagues.
Blog - Page 7
Traitée au cabinet d'Orthodontie à Bordeaux
Affichage des articles 37-42 sur 165
Découvrez notre collection de fiches pédagogiques





