CABINET DU DOCTEUR Alexis LE PETIT
Exercice limité à l'Orthodontie
11 Allées de Chartres, 33000 Bordeaux
+33 5 56 52 44 74

Blog - Page 9

Traitement d'orthodontie fonctionelle Bordeaux

Traitement d'orthodontie fonctionelle Bordeaux

Traitement d'une béance fonctionnelle chez un Enfant de 7 ans et 4 mois, et le résultat en dentition définitive

Trompettiste traité par gouttières

Trompettiste traité par gouttières

-

Traitement par gouttières et chirurgie

Traitement par gouttières et chirurgie

-

Décalage traité par gouttières

Décalage traité par gouttières

-

Canine incluse traitée avec des gouttières

Canine incluse traitée avec des gouttières

-

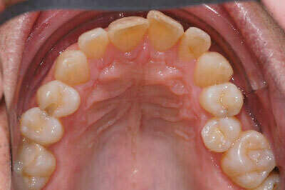
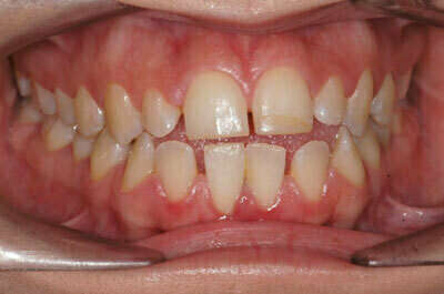
Béance traitée par gouttières

Béance traitée par gouttières

-

Affichage des articles 49-54 sur 165