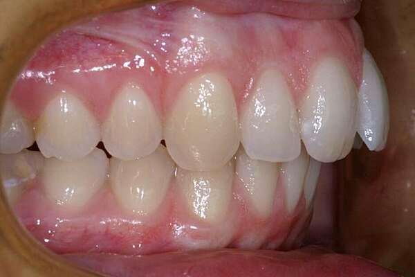
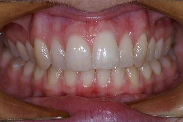
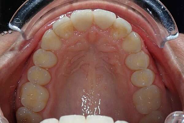
Biprotrusionet encombremets
Blog - Page 4
Les vacances sont souvent une période ou les gens se relaxent et se relâchent. Mais ce n'est pas pour autant qu'il faut oublier son hygiène bucco-dentaire. En effet il est nécessaire et même primordiale pour votre santé de continuer à être vigilant.
L'orthodontie fonctionnelle s'adresse aux enfants en croissance. L'objectif est de traiter préventivement et d'accompagner la croissance osseuse des mâchoires et de ré-harmoniser la position des muscles.
C'est d'abord une thérapeutique préventive qui s'adresse à l'enfant en phase de croissance chez qui les traitements sont particulièrement efficaces et rapides.
La technique DAMON est une innovation technologique en orthodontie. C’est un système de boîtiers unique qui permet le déplacement des dents avec une force de friction diminuée.
Découvrez notre collection de fiches pédagogiques





