Ces cas cliniques sont une illustration pédagogique de traitements odontologiques. L'objectif de ceux ci est de mettre en image des soins dentaires pour une meilleure compréhension de ceux ci.
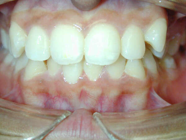
Mise en place de deux canines incluses avec encombrement dentaire associé. Dents mal placées, dans le palais.





