-
Blog - Page 10
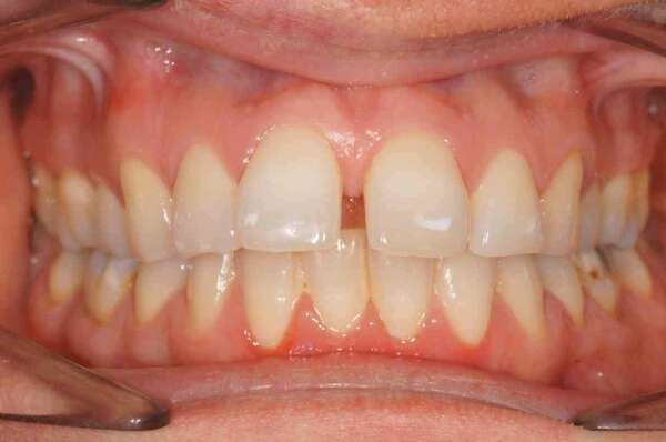
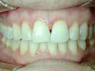
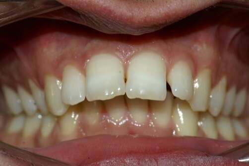
Adulte de 48 ans traité pour mauvaise occlusion et espaces disgracieux
Adulte de 50 ans venu consulter pour un encombrement inférieur
Cas d'orthodontie linguale avec extractions de deux prémolaires.
Affichage des articles 55-60 sur 165
Découvrez notre collection de fiches pédagogiques





