-
Blog - Page 11
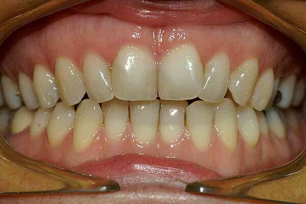
Patiente de 34 ans venue consulter pour une chirurgie d'avancée mandibulaire avec préparation des arcades en technique linguale Incognito. Durée : 13 mois de traitement. Ce traitement a été conduit sans extraction et à corrigé le recouvrement excessif des incisives responsable de l'usure de ces dents. La chirurgie d'avancée mandibulaire objectivée par la radio a amélioré le profil qui dans le temps vieillira moins vite.
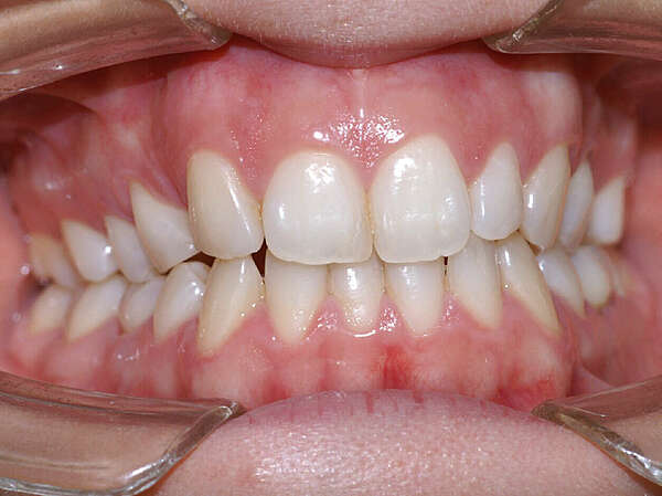
Jeune femme de 26 ans traitée en technique linguale avec extractions de deux prémolaires pour corriger le décalage et permettre l'alignement des dents. Classe II division 2. Sur le plan fonctionnel ce traitement évitera une usure des incisives du au recouvrement excessif et permettra aux Articulations (ATM) de mieux fonctionner.
Ces cas cliniques sont une illustration pédagogique de traitements odontologiques. L'objectif de ceux ci est de mettre en image des soins dentaires pour une meilleure compréhension de ceux ci.
Ces cas cliniques sont une illustration pédagogique de traitements odontologiques. L'objectif de ceux ci est de mettre en image des soins dentaires pour une meilleure compréhension de ceux ci.
Ces cas cliniques sont une illustration pédagogique de traitements odontologiques. L'objectif de ceux ci est de mettre en image des soins dentaires pour une meilleure compréhension de ceux ci.
Découvrez notre collection de fiches pédagogiques





